우유니 치아와 불소과다증 – 치아에 생기는 하얀 반점의 진실
거울을 보며 미소 지을 때, 치아에 하얗게 번진 얼룩 같은 반점이 보인다면 단순한 착색이 아니라 치아 건강의 신호일 수 있습니다.
많은 사람들이 “우유니 치아인가?”, “미백 때문인가?”, “왜 이런 반점이 생겼지?”라는 궁금증을 가지곤 합니다.
사실 이 하얀 반점은 치아 불소과다증(fluorosis) 또는 초기 충치, 미네랄 불균형의 신호일 수 있으며, 단순한 미관 문제를 넘어 조기 관리가 필요한 구강 질환일 수 있습니다.
오늘은 하얀 반점의 원인 중 가장 흔한 불소과다증, 그리고 '우유니 치아'라는 오해에 대해 자세히 알아보겠습니다.

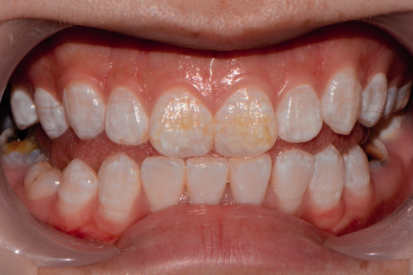
■ “우유니 치아”는 건강한 걸까?
“하얗고 깨끗한 치아”는 미용적으로 아름답게 보일 수 있지만, 치아 표면에 부드럽고 뽀얗게 보이는 불규칙한 하얀 반점이 있다면, 단순히 예쁜 게 아니라 이상이 있다는 신호일 수 있습니다.
많은 부모님들이 자녀 치아가 유백색에 가까우면 “우유니 치아”라고 하며 좋아하지만, 실제로는 불소의 과도한 노출로 인한 불소과다증, 혹은 초기 탈회 현상일 가능성이 있습니다.
■ 불소과다증(Fluorosis) 이란?
불소과다증은 영구치 형성기(생후 6개월~8세 사이)에 과도하게 불소에 노출된 경우, 치아 표면의 법랑질 형성이 제대로 이루어지지 않아 치아가 하얗거나 갈색 반점, 줄무늬, 얼룩 등을 보이는 현상입니다.
불소는 소량일 때는 충치 예방에 매우 효과적이지만, 과량 노출 시 오히려 치아의 무기질 균형을 무너뜨려 미관상 문제를 일으킵니다.
■ 불소과다증의 주요 원인
- 불소 함량 높은 물을 장기간 마신 경우
– 일부 지역에서는 수돗물이나 지하수에 자연적으로 불소가 과도하게 함유되어 있음 - 불소 치약 또는 가글의 과다 사용
– 어린아이가 치약을 삼켜버리는 경우가 가장 흔한 원인 중 하나 - 불소 보충제 과용
– 필요 이상으로 불소 정제를 복용하는 경우 - 여러 경로에서 누적된 불소 노출
– 불소 치약, 불소수, 가글, 보충제 등이 동시에 사용될 경우
■ 증상의 종류와 심각도
불소과다증은 경증부터 중증까지 단계가 나뉘며, 다음과 같은 증상이 나타납니다:
- 경증: 미세한 흰 반점, 가느다란 줄무늬 (가장 흔하고 발견하기 어려움)
- 중등도: 불규칙한 흰 얼룩, 치아 전체가 탁해 보임
- 중증: 갈색 반점, 치아 표면의 거칠음, 일부는 부서지기도 함
⚠️ 주의: 불소과다증은 한 번 생기면 되돌릴 수는 없지만, 조기 발견 시 심해지는 것을 예방하거나 심미적 치료로 개선할 수 있습니다.
■ 초기 충치(탈회)와의 구분
치아의 하얀 반점은 **불소과다증 외에도 '초기 충치'**로도 나타날 수 있습니다. 이를 구분하는 것이 중요합니다.
| 위치 | 치아 전반에 흩어져 있음 | 특정 부위에 국한됨 (잇몸 근처 등) |
| 표면 | 매끄럽고 단단함 | 거칠고 약간 파임 |
| 색상 | 유백색~갈색 얼룩 | 뿌연 흰색 또는 누런 점 |
| 진행성 | 더 진행되진 않음 | 방치 시 충치로 발전 |
■ 치료 방법은?
✔️ 심미적 개선 치료
- 미백 치료: 경증 불소과다증에 효과적
- 레진 치료: 부분적으로 얼룩을 덮는 방식
- 미세 연마/미세 침식 치료: 표면을 약하게 연마해 색상을 고르게 만듦
- 비니어: 앞니 전체를 얇게 덮는 세라믹 보철
✔️ 예방 관리
- 아동에게 불소 치약은 쌀알 크기로, 삼키지 않도록 교육
- 불소 보충제는 반드시 치과 전문의와 상담 후 사용
- 가정 내 불소수 사용 여부 점검
- 정기적인 치과 검진으로 조기 발견 및 관리
■ 부모님이 꼭 알아야 할 팁
- 만 8세 전후까지는 불소 섭취에 각별히 주의
- 어린이용 불소 치약은 무불소 또는 저불소 제품 선택
- 아이가 치약을 삼키지 않도록 양치하는 법 함께 연습
- “하얀 치아 = 건강한 치아”라는 고정관념에서 벗어나기
- 치과 정기 검진으로 하얀 반점의 원인을 정확히 파악
■ 결론 – 치아의 하얀 반점, 그냥 지나치지 마세요
우유니 치아처럼 보여도, 그 속에는 불소 과다, 탈회, 초기 충치 같은 문제가 숨어 있을 수 있습니다.
특히 아이들의 경우 성장기 치아는 외부 자극에 매우 민감하므로, 양치 습관과 불소 섭취량을 꼼꼼히 관리해야 합니다.
하얗다고 다 좋은 건 아닙니다.
진짜 건강한 치아는 깨끗하고, 단단하며, 올바르게 관리된 치아입니다.
하얀 반점이 보이거나 궁금한 점이 있다면, 가까운 치과에 상담을 받아보는 것이 가장 좋은 시작입니다.